当前位置:肿瘤瞭望>百家>病例>正文

龚畅/曾银朵教授领衔逸仙MDT团队丨PALB2突变背后的多癌围剿战:一例高龄患者18年抗癌之路的跨学科诊疗奇迹

作者:肿瘤瞭望   日期:2025/8/11 14:58:09  浏览量:12812

肿瘤瞭望版权所有,谢绝任何形式转载,侵犯版权者必予法律追究。

面对高龄、多种基础疾病、四种癌症并存、PALB2突变的患者,医生如何通过精准施治,最终实现患者长生存?PALB2突变背后又隐藏着怎样的预后信息与治疗“密钥”?由中山大学孙逸仙纪念医院的龚畅教授、曾银朵教授领衔的多学科团队(MDT),在该复杂疾病患者的诊治过程中“见招拆招”,用智慧为患者提供个性化的诊疗决策,追求最大疗效和有质量生活。本期病历由桂秀娟医生进行整理。

编者按:面对高龄、多种基础疾病、四种癌症并存、PALB2突变的患者,医生如何通过精准施治,最终实现患者长生存?PALB2突变背后又隐藏着怎样的预后信息与治疗“密钥”?由中山大学孙逸仙纪念医院的龚畅教授、曾银朵教授领衔的多学科团队(MDT),在该复杂疾病患者的诊治过程中“见招拆招”,用智慧为患者提供个性化的诊疗决策,追求最大疗效和有质量生活。本期病历由桂秀娟医生进行整理。
 
病例介绍
 
2023年4月,一位70岁的婆婆,走进了龚畅教授的诊室。她紧紧握着龚教授的双手,声音微微颤抖:“龚教授,您还记得我吗?16年前您给我做了左侧乳癌手术……这些年一直都好好的,没再出过什么问题。可就在最近,我右乳房里又摸到了一个肿块……,这会不会是……又长肿瘤了啊?”
 
婆婆眉头紧锁,眼神里充满了不安和恐惧。十几年来,她小心翼翼地生活,那段与癌魔抗争的日子早已成为遥远的梦,她以为生活终于回归了平静,却没想到命运似乎又跟她开了一个残酷的玩笑。她静静地等待着龚教授的回答,仿佛等待着命运的宣判。
 
既往病史
 
婆婆于2007年1月因确诊左乳癌,完善全面检查未见远处转移,后接受左侧乳癌改良根治术+左侧腋窝淋巴结清扫术,病理:左乳肿物1.8*2*2cm,浸润性导管癌III级,IHC:ER(-)、PR(-)、Her2(-),左腋窝淋巴结转移(1/19);
 
诊断:左乳浸润性导管癌术后,pT1cN1M0 IIA期三阴型。
 
辅助化疗:TEC*6(多西他赛+表柔比星+环磷酰胺);未行放疗。
 
期间规律定期复查。
 
婆婆合并多种基础病,高血压病史10余年,房颤病史6年余,长期使用艾多沙班抗凝治疗;糖尿病病史6年,使用西格列汀和二甲双胍控制血糖。
 
有较强的肿瘤家族史母亲、姨妈、妹妹均患乳腺癌;2个弟弟分别患胃癌、结肠癌。
 
现病史简介
 
2023年1月患者发现右乳肿物伴右乳头内陷。2023.4.13我院就诊:
 
影像学检查

乳腺彩超
 
1.右乳肿物(约5.0*2.4*4.7cm),乳腺癌可能,BI-RADS5;
 
2.左乳切除术后,左胸壁未见明显异常;
 
3.右腋下(1.0*0.5cm)及右侧锁骨上淋巴结(2.6*1.8cm),转移可能。
 
 
乳腺MR
 
右侧乳头后侧中部多个异常信号结节(较大者23*15mm),符合乳腺癌,BIRADS:5类。右侧腋下肿大淋巴结,考虑转移。
 
 
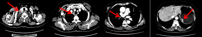
颈胸腹盆腔CT
 
右乳外上象限占位,考虑乳腺癌;右侧锁骨上、上纵隔及右肺门多发淋巴结转移(较大者24*15mm)。胃贲门处小弯侧胃壁明显增厚(26*12mm),考虑胃癌可能,周围脂肪间隙清;颈部未见明确异常。头颅MR未见脑转移。
 
 
心脏彩超
 
房颤所致心脏改变:二尖瓣瓣环扩张并重度反流:三尖瓣瓣环扩张并中度反流:中度肺动脉高压;主动脉瓣、肺动脉瓣轻度反流;左室收缩功能偏低(LVEF50%);右室收缩功能正常。
 
24h动态心电图
 
1.心房颤动,心室率:55-179次/分(平均:101次/分),可见室内差异性传导。最长RR间期19秒。
 
2.检出单个室性早搏2个。
 
3.CH1(V5)、CH3(V3)导联可见ST水平压低0.05mV,T波低平、浅倒置。
 
 
冠状动脉CTA
 
左冠状动脉中段少许混合斑块,轻微狭窄;回旋支近段少许钙化、非钙化斑块。右冠状动脉未见明确异常。双侧心房增大。主动脉硬化。
 
检验指标
 
BNP1046pg/L↑。肿瘤系列:CA199:108U/ml;AFP、CEA、CA125、CA153、CA724、SCC均正常。
 
病理检测

右乳肿物穿刺
 
乳腺浸润性小叶癌。IHC:ER约95%强(+)、PR约1%中等(+)、Her-2(2+)、Ki67热点区约15%(+)、GATA-3(+)、CK5/6(-)、P120浆(+)、E-cadherin(-)。HER2 FISH(-)。
 

右腋下淋巴结穿刺
 
见癌巢浸润,乳腺浸润性小叶癌转移可能性大。IHC:ER约95%中等-强(+)、TRPS1(+)、GATA-3(+)、CK5/6(-)、E-cadherin(-)、CgA(-)、Syn(-)。
 
 
右锁骨上淋巴结细针穿刺
 
见癌细胞。IHC:CK5/6(+)、P40(+)、TRPS1弱(+)、GATA-3个别弱(+)、E-cadherin膜(+)、P120膜(+)、ER(-)、PR(-)、HER-2(-)、CDX2(-),结合细胞形态和对比既往病理,考虑为鳞状细胞癌或伴有鳞状分化的癌可能性大。
 
 
胃镜
 
胃底近后壁见3*3.5cm大小隆起,宽基底,表面凹凸不平,见糜烂溃疡,质脆,表面结节状充血水肿,有自发性及接触性出血。肠镜检查未见器质性病变。
 
 
胃底近后壁活检病理
 
腺癌,考虑胃原发可能性大。IHC:CK7(+)、Villin(+)、CDX2部分(+)、CK20(-)、GATA-3(-)、ER(-)、HP(-)、P53强弱不等(+)、Ki67约80%(+)。
 
 
肿瘤遗传易感53基因检测
 
检出1个可能致病变异,PALB2基因p.Lys353fs移码变异;检出1个意义未明变异,GNAS基因p.Glu362Lys错义变异。
 
 
病例总结及入院后诊疗经过
 
该患者为高龄女性,合并房颤、糖尿病、高血压等多种基础病,同时患有乳腺浸润性小叶癌、原发胃腺癌及左侧锁骨上鳞状细胞癌(或伴有鳞状分化的癌)等多种肿瘤。患者存在明确肿瘤家族史,并检出PALB2基因移码变异,病情较为复杂。对此,龚畅教授与曾银朵教授迅速发起第一次全院多学科会诊,组织乳腺外科、乳腺内科、肿瘤内科、病理科、胃肠外科、肿瘤遗传咨询、放射科、心血管内科等多学科专家开展联合诊疗会诊。
 
第一次MDT会诊及诊疗
 
病理科:患者2007年确诊左乳浸润性导管癌(分期IIA期分型三阴型)。2023年(16年后)再次确诊右乳腺浸润性小叶癌,Luminal B1型。从组织形态学及免疫组化,可明确诊断右侧乳腺癌为原发癌,非左侧乳腺癌转移至右侧。胃部病理检查符合胃原发腺癌,组织学形态及免疫组化(CK7+、Villin+、CDX2部分+)进一步证实诊断。锁骨上淋巴结活检显示鳞状细胞癌,组织学形态及免疫组化(CK5/6+、P40+)支持该诊断。该淋巴结为转移癌,建议做多病灶的NGS检测,通过分析不同癌灶的分子谱特征,以鉴别其克隆起源(原发或转移)。亦需要结合影像学等检查,进一步寻找原发灶。
 
肿瘤遗传咨询:PALB2作为继BRCA1/2之后肿瘤遗传易感性的第三大高危基因,其致病突变与多种恶性肿瘤的发生风险显著相关。本病例中,患者检出PALB2基因胚系可疑致病突变,结合其显著的肿瘤家族史,符合家族遗传性肿瘤的临床特征。建议:(1)家系验证:建议对患者亲属进行系谱分析及遗传咨询,并行PALB2基因检测;(2)风险评估:PALB2突变携带者罹患乳腺癌的风险较普通人群增加约5倍,同时卵巢癌、胰腺癌及前列腺癌的发病风险亦显著升高;(3)临床管理:建议突变携带者较普通人群提前5-10年启动针对性肿瘤筛查,建立个体化监测方案,以期实现早发现、早干预的二级预防目标。
 
肿瘤内科:患者锁骨上淋巴结为鳞癌转移,目前原发灶不明,应行咽部(鼻咽、口咽、喉咽)、口腔、颈部、胸部、食管等部位检查,可考虑完善PET-CT检查,为确定原发灶及其他病灶提供更多信息。此外,建议进一步行纤维支气管镜检查,以评估是否存在中央型肺鳞状细胞癌。同时,通过该检查明确上纵隔及右肺门多发淋巴结转移的性质,从而确定其来源。若发现原发灶,参阅特定疾病指南进行治疗。如经过检查后,原发灶仍不能确定,参照头颈部肿瘤/非小细胞肺鳞癌/食管癌等指南治疗。
 
胃肠外科:目前胃癌诊断明确,综合评估患者如可耐受手术,可行胃癌手术治疗
 
心血管内科:针对房颤,建议行导管射频消融术治疗。
 
乳腺科:鉴于患者高龄、合并多种基础疾病且存在轻度左室收缩功能减退(LVEF:50%),针对其激素受体阳性(HR+)的右乳浸润性小叶癌,推荐采用哌柏西利联合氟维司群的治疗方案。围手术期暂不使用化疗,确保胃癌手术顺利开展,待术后再次调整抗肿瘤治疗方案。
 
已向患者详细告知病情,并充分解释PET-CT、鼻咽镜、纤支镜活检及射频消融等检查治疗的必要性,但患者因个人原因拒绝接受上述诊疗方案。经沟通后同意先行手术切除胃部病灶,待术后恢复良好时再行PET-CT检查以进一步排查其他部位潜在原发灶。
 
患者于2023-4-22起行哌柏西利+氟维司群治疗;
 
2023-05-15行“3D腹腔镜下近端胃癌根治+区域淋巴结清扫+幽门成形术”,病理:①(胃肿物)胃腺癌(中-低分化),癌组织浸润胃壁全层至浆膜下纤维组织,个别脉管内见癌栓,网膜组织未见癌,胃周淋巴结(0/9)未见癌转移。免疫组化:MLH1约95%(+)、PMS2约95%(+)、MSH2约95%(+)、MSH6约95%(+)、Ki67热点区域约70%(+)、BRAF(-)、Her-2(1+)、EGFR弱(+)、NSE(-)、Syn(-)、CgA(-)、CD56(-)、E-cad(+)、CK7(+)、CK20(-)、CDX2部分(+)、PD-L1(22C3)综合阳性评分(CPS)为5、PD-1免疫细胞约15%(+)、CD4免疫细胞约50%(+)、CD8免疫细胞约30%(+)。②(食管断端、胃断端)组织均未见癌。分期pT3N0Mx
 
 
基因检测——多癌种小panel测序(胃腺癌组织标本
 
 
2023.6.26复查PET-CT
 
1.右乳外上象限乳腺癌病灶(22*16mm),对比2023-04-14 CT(26*24mm)较前缩小,FDG代谢活跃。右侧腋窝小淋巴结(5mm),较前稍缩小,代谢不活跃。右侧锁骨上区、上纵隔淋巴结转移瘤(24*18mm),现大小同前相仿,代谢活跃(SUV:6.7)。
 
2.现胃贲门部术后改变,术区未见明显异常活性灶。
 
3.左乳、左侧胶窝术后改变,未见明显异常活性灶。双肺小结节。考虑炎性结节可能,建议复查;双肺门及纵隔另反应性淋巴结。
 
 
患者已接受胃癌根治术,术后通过PET-CT对病灶情况进行了评估。目前患者采用哌柏西利联合氟维司群方案治疗,乳腺病灶已明显缩小,但锁骨上淋巴结、纵隔及肺门淋巴结未见缩小。为进一步为患者制定更精准的治疗方案,龚畅教授与曾银朵教授组织了第二次多学科联合会诊。
 
第二次MDT会诊及诊疗
 
(1)PET-CT检查显示鼻咽部、颈部、食管、双肺未见肿瘤征象。因此针对锁骨上淋巴结鳞癌来自哪个原发灶,仍不明确。可参照头颈部肿瘤/非小细胞肺鳞癌/食管癌等指南治疗。原发灶不明鳞癌的化疗常用化疗方案:紫杉醇/白蛋白结合型紫杉醇和卡铂/顺铂;吉西他滨和顺铂。其他可选方案:mFOLFOX6;卡培他滨;5-氟尿嘧啶;紫杉醇和顺铂;多西他赛和卡铂;多西他赛和顺铂;顺铂和5-氟尿嘧啶。
 
(2)针对胃癌分期pT3N0Mx,常用化疗方案CAPOX、SOX、FOLFOX、FOLT、XP(药物组成:卡培他滨、奥沙利铂、多西他赛、顺铂)。
 
(3)关于纵隔淋巴结转移的来源,结合患者胃癌术后的病史,其区域淋巴结未见转移(0/9),故胃癌转移的可能性较小。尽管目前转移来源尚未明确(如乳腺癌、鳞癌或其他肿瘤),但依据影像学评估结果及临床分期标准,已可明确诊断为晚期恶性肿瘤。
 
(4)对于HR阳性乳腺癌患者,无论是否存在转移病灶,鉴于患者高龄及合并多种基础疾病,建议优先考虑CDK4/6抑制剂联合内分泌治疗的全身治疗方案。该方案具有较好的安全性及耐受性特点。后续将根据肿瘤对治疗的反应情况,再行评估乳腺病及区域淋巴结的局部手术干预的时机与必要性。
 
(5)结合患者具有多原发癌,考虑兼顾多种肿瘤成分的治疗策略。建议:DCF(多西他赛+顺铂+5-FU)+氟维司群;或卡培他滨+氟维司群+CDK4/6抑制剂。
 
结合患者体质及患者意愿,2023-07-07日开始哌柏西利+氟维司群+卡培他滨治疗。
 
 
2024-11-5复查CT:右乳外上象限占位(11mm×9mm),较前明显缩小;上纵隔及右肺门多发淋巴结转移缩小;右锁骨上区淋巴结较前增大。余部位未见肿瘤转移及复发征象。
 
患者右锁骨上淋巴结肿大,需完善相关检查以进一步明确鳞状细胞癌的原发部位。
 
宫颈液基细胞学检查:未见上皮内病变或恶性病变,萎缩性细胞改变。
 
头颅+鼻咽部+颈部MR:右侧锁骨上区、所见上纵隔多发肿大淋巴结,考虑转移瘤。脑、鼻咽部未见明显异常。
 
患者右锁骨上淋巴结较前增大,乳腺病灶明显缩小,针对是否需要进行锁骨上淋巴结及乳腺手术,龚畅教授和曾银朵教授又组织了第三次多学科会诊。
 
第三次MDT会诊及诊疗
 
影像科:CT显示右侧锁骨上区病灶增大主要表现为液化坏死改变,考虑为治疗后改变而非肿瘤进展所致。
 
乳腺外科:右乳肿物明显缩小,建议行右乳肿物切除术,可考虑同期行锁骨上淋巴结清扫术,以达到更好的局部治疗效果。
 
放疗科:建议行右侧下颈部区域行放射治疗。
 
乳腺内科:如目前肿瘤评估未明确进展,可维持当前方案。
 
经与患者沟通后,其本人选择继续原方案治疗。自2023年4月起,患者接受哌柏西利联合氟维司群及卡培他滨治疗至今,疗程已超过2年。不良反应主要表现为2级骨髓抑制及2级手足综合征,整体耐受性良好。
 
如今,口服药与肌肉注射药成了阿婆抗癌的“轻武器”,让她轻松扛过两年多治疗。治疗间隙的退休生活愈发鲜活——她踏春赏杜鹃,观海听潮声,相册里的笑容比春光更明媚。肿瘤受控的同时,生活的诗意也悄然回归。

病例讨论及专家观点

龚畅教授:原发灶不明肿瘤(cancer of unknown primary,CUP),也称原发不明肿瘤、不明原发肿瘤、隐匿性XX癌,是指转移灶经病理学检查确诊为恶性肿瘤,而治疗前经过详细病史询问﹑体检和各项检查均未能明确其原发病灶。
 
CUP大约占所有癌症新发病例的2%~10%。CUP的发病率随年龄增长显著增加,40岁以下不常见,80岁左右发病率达最高峰。研究报道呼吸和消化器官的CUP占比最高,最常记录的单个转移部位是肝脏。CUP最多的组织学亚型是腺癌,占42%~50%,其次是低分化癌和鳞癌。
 
原发灶不明肿瘤的诊断原则,根据病理类型、肿瘤出现部位,进行相应的检查评估(CT、MRI、PET-CT、肿瘤标志物、内镜等)。研究表明,肿瘤组织起源基因检测(Canhelp-Origin,90基因检测)可有效预测肿瘤原发部位并指导部位特异性治疗以改善预后。
 
原发灶不明或不确定的转移性癌症在诊断和治疗中面临重大挑战,常导致临床决策困难及预后不佳。原发灶不明的鳞癌,应根据是否明确原发灶而行相应治疗。
 
(1)若发现了原发灶,参阅特定疾病指南进行治疗。
 
(2)若未发现原发灶且肿瘤仅限于局部,如头颈部、锁骨上、腋窝、纵隔、多发肺结节、胸腔积液、腹股沟、骨和脑,参阅特定部位肿瘤的治疗策略:①对头颈部,可参照头颈部肿瘤指南治疗。②对锁骨上,可参照头颈部肿瘤/非小细胞肺鳞癌/食管癌等指南治疗。
 
本例患者锁骨上淋巴结鳞癌,应行咽部(鼻咽、口咽、喉咽)、口腔、颈部、胸部、食管等部位检查,若发现原发灶,参阅特定疾病指南进行治疗。原发灶不明鳞癌的化疗常用化疗方案:紫杉醇/白蛋白结合型紫杉醇和卡铂/顺铂;吉西他滨和顺铂。可选用方案:mFOLFOX6;卡培他滨;5-氟尿嘧啶;紫杉醇和顺铂;多西他赛和卡铂;多西他赛和顺铂;顺铂和5-氟尿嘧啶。
 
曾银朵教授:多原发肿瘤(Cancer of Multiple Primary,CMP)是指机体同时性或异时性发生2个或2个以上彼此无关的原发恶性肿瘤,可分别来源于同一器官、成对器官、不同系统的器官、同一系统的不同器官;多原发肿瘤的存在不取决于时间,每一个原发肿瘤起源于一个组织或部位,而不是侵袭、复发或转移。多原发肿瘤相对于其他常见肿瘤而言,发病率较低,临床少见。美国第二原发肿瘤占所有肿瘤的比例为9.3%,欧洲为6.3%,中国为0.6%~2.67%。近年来,随着医疗技术的进步,长期生存的肿瘤患者明显增加,而多原发肿瘤发生率有升高趋势。对于多原发肿瘤的治疗,所制定的方案应选用能够覆盖多种肿瘤的药物。
 
龚畅教授:双侧乳腺癌,分为同时性双侧乳腺癌和异时性双侧乳腺癌。平均而言,对侧乳腺癌的年风险约为0.5%。在BRCA1和BRCA2基因突变携带者中,对侧乳腺癌的发病风险约为每年2.5%,在初始诊断后的15年,发病风险约为36%。携带BRCA1基因突变者,其对侧乳腺癌的发病风险会增加4.5倍;而携带BRCA2基因突变者,该风险则会增加3.4倍。对侧乳腺癌的风险因素还包括CHEK2致病突变、PALB2致病突变、组织学类型(浸润性小叶癌对侧乳腺癌风险高于浸润性导管癌)、首次确诊乳腺癌时年龄较小以及有乳腺癌家族史。
 
双侧原发性乳腺癌是指双侧乳腺同时或先后发生独立的原发性乳腺癌。可通过下指标协助诊断,(1)生长部位:原发性乳腺癌多位于对侧乳腺外部的象限实质内,而转移性乳腺癌一般位于内上象限或近胸正中线的脂肪组织中。(2)组织学类型,双侧乳腺癌组织学类型不同;(3)原位病变,存在原位癌或原位癌演变成浸润癌的病理证据,可作为原发癌诊断的可靠证据;(4)生长方式,原发癌多呈单个生长,转移癌则偏多发倾向;(4)发病时间,单侧乳腺癌发病并根治后>5年,无局部复发或远处转移。
 
曾银朵教授:该患者具有PALB2基因突变。PALB2(partner and localizer of BRCA2)是继BRCA1/2之后重要的乳腺癌易感基因。PALB2突变携带者的乳腺癌风险可能与BRCA2相当,50岁时乳腺癌累积风险为14%,70岁升至35%。值得注意的是,70岁时绝对风险因家族史差异显著:无家族史者为33%,而有≥2位一级亲属50岁前患病者高达58%。
 
在第19届St gallern乳腺癌大会中,关于PALB2突变乳腺癌患者对侧乳腺癌预防切除以及PARPi辅助强化的问题,专家进行了投票。比如,针对45岁女性,I期乳腺癌,如伴有PALB2致病突变,51.43%的专家支持对对侧乳腺进行预防性切除降低乳腺癌风险。49岁女性,ER阳性/HER2阴性的乳腺癌,携带PALB2致病变异,临床分期符合OLYMPIA研究的入选标准,除了标准化疗和/或内分泌治疗外,68.3%的专家支持使用奥拉帕利强化治疗。
 
综上,鉴于PALB2与BRCA2的功能相关性,PARP抑制剂可能对PALB2突变患者具有潜在治疗价值。这一推测源于PARP抑制剂在BRCA1/2突变患者中的显著疗效,但尚需临床试验数据加以验证。目前,针对携带PALB2基因有害或疑似有害突变的实体肿瘤患者,采用IMP1734(一种高选择性PARP1抑制剂)治疗的临床研究正在开展中。
 
龚畅教授:IV期乳腺癌局部手术治疗的必要性及时机:对于初治Ⅳ期乳腺癌的治疗以延长生存期,减轻临床症状,改善患者生活质量为主要目的。对于首诊Ⅳ期且有完整原发肿瘤的乳腺癌患者进行原发灶的手术及手术方式存在争议。多项临床研究,包括土耳其的MF07-01研究、美国TBCRC013研究以及印度TATA研究,针对该问题进行探索。然而,这些研究的结果存在异质性,未能达成一致的结论。
 
为进一步阐明该问题,我们可以参考国际晚期乳腺癌专家共识(ABC指南)的推荐意见。第3届ESO-ESMO国际乳腺癌共识指南(ABC3)对Ⅳ期乳腺癌原发灶的手术仍有争议,但学者们一致认为对于单发骨转移患者,原发灶的根治性切除能提高生存率。第5届ESO-ESMO国际乳腺癌共识指南(ABC5)指出对于原发IV期乳腺癌,原发灶切除与生存延长无关,对于高选择性的患者,比如单纯骨转移患者可进行原发灶切除。
 
另外,对于一些全身治疗效果好的患者,从改善生活质量的角度,可以进行原发灶手术的切除。对于寡转移(转移灶<5个)或低肿瘤负荷的患者,如对全身治疗效果非常敏感,可达到肿瘤完全消失及进一步获得长期生存的情况下,此时可考虑将进行多学科会诊,讨论是否行积极的局部治疗。因此,对于高选择的部分初治Ⅳ期乳腺癌,如对全身治疗有效、转移病灶为寡转移、转移灶瘤负荷低、患者意愿强烈,可以考虑手术。
 
曾银朵教授:针对不同CDK4/6抑制剂的选择,需要综合考虑患者年龄、有无合并症及伴随用药等情况综合决定。对于本文中的患者,为高龄患者,尤其合并房颤需长期抗凝治疗且拟行胃癌根治术(术后可能影响胃肠功能)者,应特别谨慎选择用药方案。瑞波西利存在一定的QT间期延长风险,所有级别发生率6.9%,3/4级发生率1.3%,因此合并心血管基础疾病或合并用药的患者谨慎使用瑞波西利。阿贝西利增加腹泻和静脉栓塞的风险,因此胃肠疾病患者以及合并有血栓或高凝状态的患者慎用阿贝西利。综合考虑本例患者情况后建议使用哌柏西利。
 
龚畅教授:该病例深刻印证,对于合并多原发癌、多种基础疾病的七旬乳腺癌患者,多学科诊疗协作通过打破学科壁垒、实现精准诊断与个体化治疗的动态适配,已成为提升复杂病例诊疗质量的关键路径,为类似疑难乳腺癌的临床决策提供了极具价值的实践范式。
 
参考文献
 
[1]Antoniou A.C.,et al.Breast-cancer risk in families with mutations in PALB2,N Engl J Med.2014 Aug 7;371(6):497-506.
 
[2]中国抗癌协会多原发和不明原发肿瘤诊治指南(2023年版)《中国癌症杂志》2023年第33卷第4期,403-422
 
[3]多原发和不明原发肿瘤研究进展篇——《中国恶性肿瘤学科发展报告(2024)》
 
[4]Metcalfe,K.et al.Predictors of contralateralbreast cancer risk in BRCA1 and BRCA2mutation carriers.Br.J.Cancer 104,1384–1392(2011).
 
[5]Mavaddat,N.et al.Cancer risks for BRCA1and BRCA2 mutation carriers:results fromprospective analysis of EMBRACE.J.NatlCancer Inst.105,812–822(2013).
 
[6]Malone,K.E.et al.Population-based study ofthe risk of second primary contralateral breastcancer associated with carrying a mutation inBRCA1 or BRCA2.J.Clin.Oncol.28,2404–2410(2010).
 
[7]Graeser,M.K.et al.Contralateral breast cancerrisk in BRCA1 and BRCA2 mutation carriers.J.Clin.Oncol.27,5887–5892(2009).
 
[8]Steven A Narod.Nat Rev Clin Oncol.2014 Mar;11(3):157-66.Bilateral breast cancers
 
[9]阙秀。乳腺肿瘤病理学[M].北京医科大学中国协和医科大学联合出版社,1993.
 
[10]瑞波西利、阿贝西利及哌柏西利片说明书
 
[11]第3届ESO-ESMO国际乳腺癌共识指南(ABC3)
 
[12]第5届ESO-ESMO国际乳腺癌共识指南(ABC5)
 
点评专家简介
 
龚畅教授
中山大学孙逸仙纪念医院逸仙乳腺肿瘤医院
乳腺外科二级主任医师/三级教授外科学博士,博士生导师
乳腺诊断专科主任,乳腺肿瘤中心第二职工党支部书记
中国抗癌协会乳腺癌整合防筛专委会常委
中国抗癌协会乳腺癌专委会委员
中国女医师协会乳腺专委会常委
中国女医师协会临床肿瘤专委会委员
广东省医师协会乳腺专科医师分会副主委
广东省精准医学应用分会癌症早筛早诊分会副主委
广东省抗癌协会癌症筛查与早诊早治专委会副主委
广东省临床医学学会泛家族遗传性肿瘤防控专委会副主委
广东省临床医学学会乳腺癌专委会副主委
广东省医学会乳腺病学分会常委
广东省抗癌协会多原发和不明原发肿瘤(CMUP)专委会常委
主持科技部国家重点研发计划(课题组长)1项、国家科技创新2030(课题组长)1项,国家自然科学基金7项,省部级基金7项。CSCO基金2项。入选科技部、教育部、广东省杰青等人才项目5项。主编人卫出版社专著《组织标记在乳腺疾病精准诊疗中的应用》。研究成果获广东省科技进步二等奖(第一完成人),并被中国年轻乳腺癌诊疗专家共识以及包括研究生教材《疾病学基础》《肿瘤学》在内的17本参与编写的专著引用。获专利10项,开发软件2项。以第一/通讯在Cancer Cell,Cell Reports Medicine,Med,Medcomm,Molecular Cancer,Cancer Research,Advanced Science,Nature Communications发表论文43篇,总引用2771次,高被引论文3篇。
 
曾银朵教授
博士,副主任医师,硕士生导师
中山大学孙逸仙纪念医院乳腺内科
广东省胸部肿瘤防治研究会乳腺肿瘤内科专业委员会主任委员
中国医药卫生事业发展基金会乳腺肿瘤学组常委兼秘书长
广东省药学会第二届肿瘤全程管理专家委员会副主任委员
广东省卫生信息网络协会智慧肿瘤研究分会副会长
广东省临床医学学会泛家族遗传性肿瘤防控专业委员会常委
广东省胸部肿瘤防治研究会胸部肿瘤脑转移专业委员会委员
广东省抗癌协会乳腺癌专业委员会委员
中国抗癌协会肿瘤分子医学专业委员会委员
中国抗癌协会肿瘤标志专业委员会会员
主持国家自然科学基金青年基金1项
主持中山大学5010培育项目1项
主持逸仙临床研究培育项目1项
参加编写《临床肿瘤内科学》和《乳腺癌保乳治疗》
英国卡迪夫大学访问学者
参加多项国际及国内多中心临床研究
 
病例分享专家简介
 
桂秀娟
中山大学孙逸仙纪念医院
乳腺肿瘤中心主治医师
广东省医疗行业协会专科管理分会委员
广东省胸部肿瘤防治研究会乳腺肿瘤内科专业委员会委员
广东省预防医学会乳腺癌防治专业委员会委员
广东省临床医学学会乳腺癌专业委员会委员
广东省老年保健协会乳腺癌整合治疗专业委员会委员
获“中国恶性肿瘤骨健康规范诊治病例比赛全国决赛”优胜奖
获“第一届CET病例演讲比赛全国总决赛”丁香奖
获“CSCO乳腺癌规范化诊疗AI挑战赛全国总决赛”三等奖
获“全国乳腺癌诊治高峰论坛青年医师专业组菁英辩论赛”优胜奖
 
精彩推荐

本内容仅供医学专业人士参考


乳腺癌

分享到: 更多